Gummy Smile: How A Dentist Can Treat Your Gum Overgrowth
Even if you have straight, white teeth, a gum overgrowth can still make you feel self-conscious about your smile. Gum overgrowth can tilt the balance of teeth and gum in your smile too far to the gummy side. However, your local dentist can reset this balance and enhance your smile with gum disease treatment. Find out how a dentist can fix your gummy smile and help you feel more confident flashing those pearly whites.
A Gum Lift
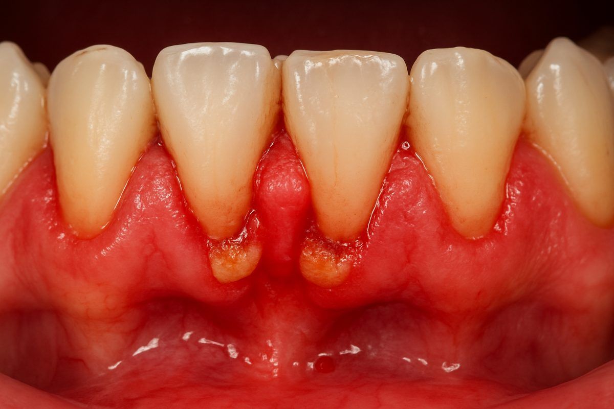
There are many causes of inflamed gum tissue, with gum disease being one of the most common. Gum disease can irritate the gums, making them inflamed and causing excess tissue growth. This excessive gum tissue can cover more of the teeth than normal.
Gum overgrowth isn’t the only cause of gummy smiles. In some cases, the gum line covers teeth normally, but the height of the gums visible when smiling is still higher than normal. And in other cases, a combination of the two causes is at play.
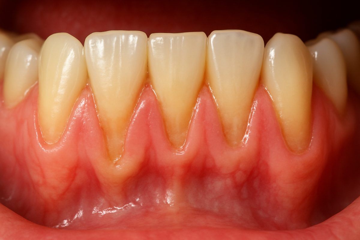
A gingivectomy, sometimes called a “gum lift,” can remove excess tissue, push the gum line back and reshape the gum line for aesthetics. A related procedure, crown lengthening entails removing a small about of bone, as well as gum tissue, to expose more of the teeth and to push the gumline back.
Here’s a high-level look at how a gingivectomy is carried out:
- The mouth is numbed with a local anesthetic
- Excess gum tissue is carefully removed, using a dental laser or scalpel. A small amount of bone may be removed as well.
- The gums are reshaped.
- The gums will be stitched in place, if a scalpel was used. Dental lasers can cauterize, so stitches aren’t necessary
- You get your first look at your made-over smile
Though your procedure won’t be painful, thanks to the anesthesia, you’ll need to take over-the-counter painkillers after your procedure to keep the pain muted as you heal.
More Gingivectomies in Greenwich, CT
Take a moment to schedule an appointment with a local dentist to learn more about your options for gum disease treatment and gingivectomies in Greenwich, CT.




